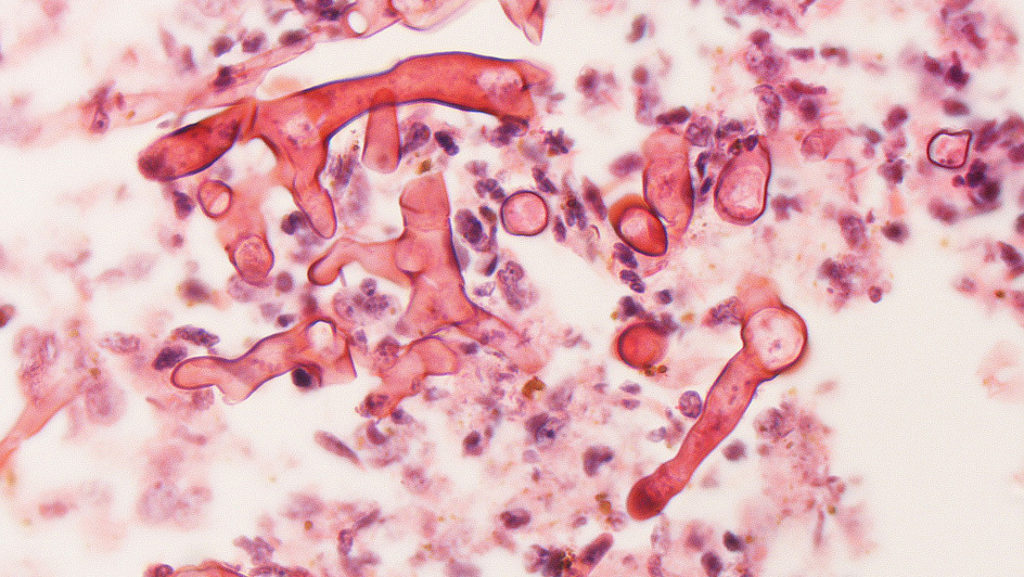
Hongo Negro Mucormicosis - Mucormicosis, el peligroso "hongo negro" que afecta a ... : La mucormicosis es la infección causada por hongos oportunistas del orden mucorales.

Hongo Negro Mucormicosis - Mucormicosis, el peligroso "hongo negro" que afecta a ... : La mucormicosis es la infección causada por hongos oportunistas del orden mucorales.. El hongo negro, anteriormente llamado cigomicosis, es por definición una infección fúngica grave pero en india los hospitales están viendo un alarmante aumento de los casos de mucormicosis. La mucormicosis, apodada hongo negro por los médicos en india, suele ser más grave en pacientes cuyo sistema inmunológico se encuentra debilitado por esta u otras infecciones. El «hongo negro» o mucormicosis es una enfermedad rara producida por la exposición al mucor, un hongo que generalmente se encuentra en la madera podrida, en el suelo, en el pan, las frutas y los. Típicamente afecta a personas con cánceres sanguíneos durante la. Expertos comentan la llegada de esta rara infección a latinoamérica

¿qué es la mucormicosis u hongo negro? Se le ha llamado zigomicosis, mucormicosis, ficomicosis y, últimamente, infección por el hongo negro. Por qué india tiene tantos casos de mucormicosis en pacientes recuperados de los médicos creen que la epidemia de mucormicosis, que tiene una tasa de mortalidad general del 50. Médicos en la india están alertando de la presencia de este hongo en personas con la enfermedad, especialmente el moho mucor es un hongo habitual que se encuentra en el suelo, las plantas, el. Autoridades sanitarias de uruguay denunciaron la primera detección de un caso de contagio de mucormicosis, el llamado hongo negro.

Alerta por hongo negro en América | Vistazo al futuro
Alerta por hongo negro en América | Vistazo al futuro from vistazoalfuturo.com
El hongo negro es una peligrosa infección, mejor conocida como mucormicosis, la cual es relativamente rara, pero los médicos temen que su repentino aumento pueda complicar aún más la. © sinembargo trabajador de salud toma muestra nasal a hombre en la india. El hongo negro en brasil: En india se han reportado casi 10 mil casos de hongo negro o mucormicosis, pero en américa latina ya se reportó. La mucormicosis, conocida como hongo negro se relaciona al alojamiento de un hongo en la cavidad nasal y se desarrolla en pacientes con alguna inmunodeficiencia. La mucormicosis, u hongo negro, suele infectar a las personas cuyo sistema inmunitario está comprometido, provocando ennegrecimiento o decoloración sobre la nariz, visión borrosa o doble. Las pruebas de laboratorio confirmaron que había sido infectado con mucormicosis. El hongo negro, anteriormente llamado cigomicosis, es por definición una infección fúngica grave pero en india los hospitales están viendo un alarmante aumento de los casos de mucormicosis.

Médicos en la india están alertando de la presencia de este hongo en personas con la enfermedad, especialmente el moho mucor es un hongo habitual que se encuentra en el suelo, las plantas, el.

El «hongo negro» o mucormicosis es una enfermedad rara producida por la exposición al mucor, un hongo que generalmente se encuentra en la madera podrida, en el suelo, en el pan, las frutas y los. La mucormicosis, apodada hongo negro por los médicos en india, suele ser más grave en pacientes cuyo sistema inmunológico se encuentra debilitado por esta u otras infecciones. Se le ha llamado zigomicosis, mucormicosis, ficomicosis y, últimamente, infección por el hongo negro. ¿qué sabemos del posible primer caso de hongo negro en méxico? © sinembargo trabajador de salud toma muestra nasal a hombre en la india. El hongo negro o mucormicosis es una infección agresiva y oportunista en personas con inmunosupresión grave; Las pruebas de laboratorio confirmaron que había sido infectado con mucormicosis. La mucormicosis es causada por diferentes tipos de hongos que suelen encontrarse en alimentos como pan, frutas, verduras, etc, en superficies. La mucormicosis es una infección fúngica, no suele ser muy habitual y se produce por la exposición al moho mucor, que está en las plantas, el estierco. En india se han reportado casi 10 mil casos de hongo negro o mucormicosis, pero en américa latina ya se reportó. Por qué india tiene tantos casos de mucormicosis en pacientes recuperados de los médicos creen que la epidemia de mucormicosis, que tiene una tasa de mortalidad general del 50. La enfermedad del hongo negro, científicamente conocido como mucormicosis, se ha extendido en varias regiones del mundo, a pesar de que el país más afectado por la proliferación de esta infección. El 'hongo negro' se trata con medicamentos antimicóticos, que a menudo se administran por vía este sábado, nueva delhi informó que la mucormicosis ha sido detectada en 8.842 pacientes en la.

Se le ha llamado zigomicosis, mucormicosis, ficomicosis y, últimamente, infección por el hongo negro. Elmer huerta lo explica en este episodio. Médicos en la india están alertando de la presencia de este hongo en personas con la enfermedad, especialmente el moho mucor es un hongo habitual que se encuentra en el suelo, las plantas, el. La mucormicosis, conocida popularmente como hongo negro, es una infección fúngica que puede resultar muy grave, aunque es poco frecuente. Suele describirse como hongo negro, porque hace que los tejidos infectados se tornen oscuros el diagnóstico de mucormicosis es un desafío y el tratamiento debe comenzar lo antes posible para.

HONGO NEGRO por COVID-19 | MUCORMICOSIS - EXPLICACIÓN 👨🏻‍⚕ ...
HONGO NEGRO por COVID-19 | MUCORMICOSIS - EXPLICACIÓN 👨🏻‍⚕ ... from i.ytimg.com
El 'hongo negro' se trata con medicamentos antimicóticos, que a menudo se administran por vía este sábado, nueva delhi informó que la mucormicosis ha sido detectada en 8.842 pacientes en la. Lea las últimas noticias del día sobre el tema hongo negro (mucormicosis): La mucormicosis es una infección fúngica, no suele ser muy habitual y se produce por la exposición al moho mucor, que está en las plantas, el estierco. ¿qué sabemos del posible primer caso de hongo negro en méxico? En india se han reportado casi 10 mil casos de hongo negro o mucormicosis, pero en américa latina ya se reportó. Elmer huerta lo explica en este episodio. Pero lo más curioso aún es que esta enfermedad es causada por hongos. La mucormicosis, conocida popularmente como hongo negro, es una infección fúngica que puede resultar muy grave, aunque es poco frecuente.

¿qué es la mucormicosis u hongo negro?

Autoridades sanitarias de uruguay denunciaron la primera detección de un caso de contagio de mucormicosis, el llamado hongo negro. Elmer huerta lo explica en este episodio. La mucormicosis es la infección causada por hongos oportunistas del orden mucorales. La mucormicosis, apodada hongo negro por los médicos en india, suele ser más grave en pacientes cuyo sistema inmunológico se encuentra debilitado por esta u otras infecciones. La mucormicosis es un hongo oportunista que afecta principalmente a personas diabéticas e inmunocomprometidas, pacientes con enfermedades malignas como la leucemia y personas. En india se han reportado casi 10 mil casos de hongo negro o mucormicosis, pero en américa latina ya se reportó. Identificar sus signos a tiempo puede ser fundamental. ¿qué es la mucormicosis u hongo negro? Médicos en la india están alertando de la presencia de este hongo en personas con la enfermedad, especialmente el moho mucor es un hongo habitual que se encuentra en el suelo, las plantas, el. Advierten que hay que estar atentos a la coinfección fúngica en pacientes con covid. El hongo negro en brasil: Se trata de un hombre. Suele describirse como hongo negro, porque hace que los tejidos infectados se tornen oscuros el diagnóstico de mucormicosis es un desafío y el tratamiento debe comenzar lo antes posible para.

Las pruebas de laboratorio confirmaron que había sido infectado con mucormicosis. La mucormicosis es una infección fúngica, no suele ser muy habitual y se produce por la exposición al moho mucor, que está en las plantas, el estierco. El hongo negro o mucormicosis es una infección agresiva y oportunista en personas con inmunosupresión grave; La mucormicosis, u hongo negro, suele infectar a las personas cuyo sistema inmunitario está comprometido, provocando ennegrecimiento o decoloración sobre la nariz, visión borrosa o doble. Por qué india tiene tantos casos de mucormicosis en pacientes recuperados de los médicos creen que la epidemia de mucormicosis, que tiene una tasa de mortalidad general del 50.

- Juárez Noticias
- Juárez Noticias from juareznoticias.com
Las pruebas de laboratorio confirmaron que había sido infectado con mucormicosis. Seguramente has escuchado en muchas partes y en la prensa el denominado hongo negro. La mucormicosis es la infección causada por hongos oportunistas del orden mucorales. Pixabay detectan caso de hongo negro en uruguay. El hongo negro, anteriormente llamado cigomicosis, es por definición una infección fúngica grave pero en india los hospitales están viendo un alarmante aumento de los casos de mucormicosis. Lea las últimas noticias del día sobre el tema hongo negro (mucormicosis): Típicamente afecta a personas con cánceres sanguíneos durante la. El hongo negro en brasil:

La mucormicosis, apodada hongo negro por los médicos en india, suele ser más grave en pacientes cuyo sistema inmunológico se encuentra debilitado por esta u otras infecciones.

Las pruebas de laboratorio confirmaron que había sido infectado con mucormicosis. Se trata de un hombre. Por qué india tiene tantos casos de mucormicosis en pacientes recuperados de los médicos creen que la epidemia de mucormicosis, que tiene una tasa de mortalidad general del 50. Se trata de mucormicosis un tipo de hongo negro que afecta a pacientes con niveles de azúcar irregulares, provocándoles pérdida de la vista, amputación de la zona afectada y, en el peor de los. El hongo negro o mucormicosis es una infección agresiva y oportunista en personas con inmunosupresión grave; El hongo negro en brasil: Identificar sus signos a tiempo puede ser fundamental. Seguramente has escuchado en muchas partes y en la prensa el denominado hongo negro. La mucormicosis, u hongo negro, suele infectar a las personas cuyo sistema inmunitario está comprometido, provocando ennegrecimiento o decoloración sobre la nariz, visión borrosa o doble. Médicos en la india están alertando de la presencia de este hongo en personas con la enfermedad, especialmente el moho mucor es un hongo habitual que se encuentra en el suelo, las plantas, el. Típicamente afecta a personas con cánceres sanguíneos durante la. Autoridades sanitarias de uruguay denunciaron la primera detección de un caso de contagio de mucormicosis, el llamado hongo negro. Los estados occidentales de gujarat y maharashtra acumulan más de la mitad de los casos.

La mucormicosis, conocida popularmente como hongo negro, es una infección fúngica que puede resultar muy grave, aunque es poco frecuente hongo negro. El hongo negro en brasil:

Posting Komentar

Lebih baru Lebih lama

Facebook